红网时刻新闻12月5日岳阳讯(通讯员 杨帅 陈纯)近日,岳阳市中医医院心血管病科成功为一名76岁房颤合并脑卒中患者,实施首例心腔内超声(ICE)引导下“房颤射频消融+左心耳封堵”一站式手术。该手术实现了精准治疗,有效降低患者卒中复发与长期服药风险。

76岁的陈奶奶因“意识障碍2小时”入院,被诊断为急性脑梗死。她既往有高血压、糖尿病和多次脑梗病史,心电图提示阵发性心房颤动。为减少房颤引发心功能恶化、血栓事件及抗凝药物出血风险,心血管病科石闯主任团队经全面评估并与家属充分沟通后,决定实施一站式介入手术。

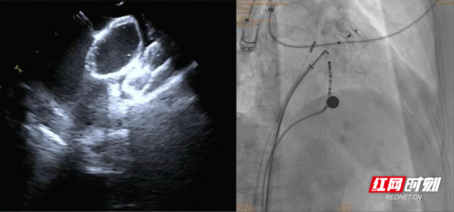
手术在导管室、麻醉科、超声科等多科室协作下进行。团队经股静脉穿刺,在三维标测系统引导下完成房颤射频消融,随后在X线及心腔内超声指导下植入左心耳封堵伞,成功闭合左心耳开口。整台手术历时约两小时,患者房颤转复为正常窦性心律,术后恢复良好,胸闷、心悸症状明显改善。
石闯介绍,房颤患者心腔内血流缓慢,易在左心耳形成血栓,脱落后可引发脑卒中,导致偏瘫甚至死亡。尤其对于高龄、高出血风险、不愿长期服药的患者,“射频消融+左心耳封堵”一站式手术能一次性解决心律问题与血栓风险,避免多次手术,缩短住院时间,减少长期抗凝药物带来的出血隐患。
来源:红网
作者:杨帅、陈纯
编辑:刘良骏
本文为岳阳站原创文章,转载请附上原文出处链接和本声明。