红网时刻新闻3月9日岳阳讯(通讯员 李子迁)近日,湖南省第三人民医院超声科医生接诊一位因“睾丸扭转并坏死”的患儿。病例回顾:一名男孩,因“突然阴囊疼痛2天”就诊,超声显示右侧睾丸回声减低、不均匀,内部无血流信号,提示“睾丸扭转并坏死”。追问病史发现,男孩曾告知奶奶但未被理解,最终因延误治疗(超过48小时)导致睾丸无法挽救。因错过最佳治疗时间,导致右侧睾丸扭转缺血坏死,通过这样一例真实的病例分享,呼吁家长们给予重视,莫让这沉默的懂事,却付出惨重的代价。
一、什么是睾丸扭转?——危险的“精索打结”
睾丸扭转,简单来说,就是睾丸和连接它的精索发生了异常旋转,就像一根“绳索”紧紧打结,导致精索内的血管被压迫,睾丸的血液供应彻底中断。它是儿科、泌尿外科的急症,发病急、进展快,对睾丸的缺血极其敏感:扭转超过6小时,睾丸就可能因缺血开始坏死,时间越久,挽救的希望越渺茫。
这类疾病尤其偏爱青少年,典型表现为阴囊突然发作的剧烈疼痛、肿胀,部分孩子还会伴有恶心、呕吐,容易被误判为“肠胃不适”或“外伤磕碰”。
常见发病诱因主要有4类:
▷睡眠中或刚醒来时:迷走神经兴奋,会导致提睾肌收缩加剧,增加扭转风险,这也是青少年发病的常见场景;
▷剧烈运动或外伤:如踢足球、摔跤、骑跨伤等,外力冲击可能诱发精索扭转;
▷寒冷刺激:低温会引起提睾肌痉挛,进而诱发扭转;
▷无明显诱因:部分患儿发病前无任何异常,突发扭转,就像上述病例一样,更易被忽视。
二、怎么发现睾丸扭转?——快速识别,刻不容缓
1.典型症状,一眼识别
☆突发剧痛:阴囊区域突然出现剧烈疼痛,疼痛程度剧烈,孩子可能会哭闹、蜷缩身体,且疼痛通常没有明显诱因;
☆肿胀发红:患侧阴囊肿胀、皮肤发红,用手轻轻触碰会有明显压痛;
☆伴随症状:部分孩子会出现恶心、呕吐,容易被误判为肠胃炎,需特别警惕。
2.警惕两大延误风险
青少年正处于敏感时期,可能因“害羞”不愿主动诉说阴囊疼痛,或表达不够清晰(只说“下面疼”);此外,部分监护人(如老人)对这类疾病认知不足,容易当成“小毛病”拖延,最终错过最佳治疗时机。在此提醒:无论孩子表述多模糊,只要提到“下面疼”“阴囊疼”,都要第一时间重视。
3.为什么强调“早发现、早治疗”?——时间就是睾丸的“生命线”
睾丸对缺血的耐受度极低,每拖延1小时,睾丸坏死的风险就会大幅增加,具体存活率参考如下:
▷扭转后6小时内:及时复位,睾丸存活率可达90%以上,几乎能完全恢复正常功能;
▷超过12小时:存活率降至50%以下,即使复位,也可能留下不可逆的损伤;
▷超过24小时:睾丸几乎无法挽救,就像上述病例中延误两天,最终只能切除坏死的睾丸。
三、超声检查:诊断睾丸扭转的“火眼金睛”
当孩子出现上述症状时,超声检查是诊断睾丸扭转及坏死的首选方法,快速、无创、准确,能为治疗争取宝贵时间,堪称“救命检查”。作为超声医生,我们诊断的核心就看这两点:
二维超声:看结构,辨异常
▷坏死睾丸:超声下可见睾丸实质回声减低、不均匀,失去正常的均匀光点,提示睾丸组织已受损;
▷正常睾丸:回声中等、光点细密、分布均匀,结构清晰;
▷扭转间接证据:睾丸上方可能出现异常包块,多为扭转的精索或水肿组织,这也是判断扭转的重要线索。
CDFI(彩色多普勒血流成像):看血流,定生死
这是诊断睾丸坏死的核心依据:坏死的睾丸因血液供应完全中断,超声下内部无明显血流信号;而正常睾丸或未完全坏死的睾丸,会显示丰富的血流信号。需要注意的是,扭转的精索包块内可能仍有少量血流,需结合二维超声综合判断,避免误判。
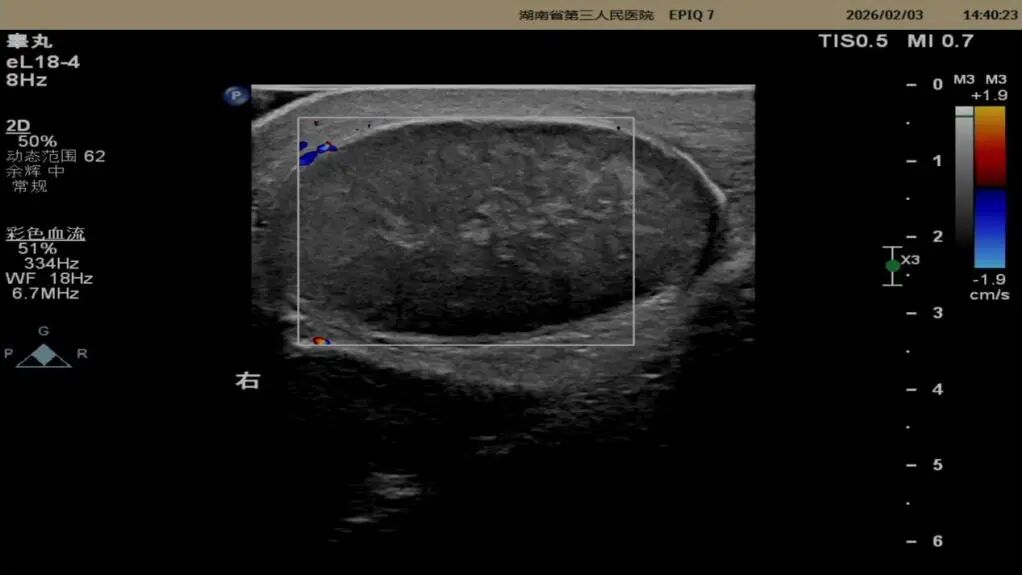
超声影像图像如下:

右侧坏死睾丸血流信号图像。

左侧正常睾丸血流信号图像。
四、家长必看:守护孩子,从读懂“疼痛信号”开始
每个孩子都是祖国的花朵,都值得拥有完整、健康的未来,守护未成年人的身体健康,是每个家长的责任与义务。为避免此类悲剧再次发生,我们向家长和青少年提出以下几点建议:
1.关注孩子的身体信号:青少年若出现阴囊疼痛、红肿,切勿害羞隐瞒,要第一时间告知家长;家长也要主动关注孩子的身体变化,尤其是孩子说“下面疼”“肚子不舒服”时,多追问一句、多检查一下,避免遗漏关键信号。
2. 明确监护人责任:对于留守儿童,要确保监护人(祖辈或其他看护人)了解此类急症的危害,能及时识别紧急病情,避免因认知不足延误治疗。
3. 重视超声检查:一旦怀疑睾丸扭转,立即带孩子到正规医院就诊,优先选择超声检查,快速明确诊断。
来源:红网
作者:李子迁
编辑:陈砂
本文为岳阳站原创文章,转载请附上原文出处链接和本声明。